입상복합분체
제오카본(zeocarbon)
제오카본은 활성탄, 제올라이트로 구성된 입상 복합 분자체로 유해가스 제거, 탈취, 휘발성유기화합물(voc) 제거, 정수 및 오수처리 등 환경 사업분야에 매우 유용한 소재입니다.
제품개요
제오카본 100 series는 활성탄과 제올라이트 5a로 구성된 흡착 소재로 활성탄 또는 제올라이트 한 가지 소재만으로 제거하기 어려운 생활 악취나 상수, 오폐수 처리에 이용 가능한 소재입니다.

제오카본 200 series는 활성탄과 제올라이트13x로 구성되어 수처리, 휘발성 유기화합물(voc) 제거에 유용한 소재입니다.
종류
기상용 zc-100, zc-200
기상용 제오카본은 활성탄으로 제거하기 어려운 저농도의 암모니아, 아민류, 일산화탄소, 질소산화물을 흡착하여 탈취, 담배필터, 신선도 유지 등에 활용되고 있습니다.
액상용 zc-100b, zc-200b
액상용 제오카본은 물에 대한 강도와 내마모도를 보강한 제품으로 암모니아성 질소 제거와 미생물 담체 효과가 뛰어나 고도정수처리에 적용되고 있습니다.
용도
기상용 제오카본 (zc-100, zc-200)
담배필터: 3중필터, 2중필터
가스정제: 이산화탄소중 미량 메탄올 제거, lpg중 황화합물
제거 탈취 및 신선도 유지: 냉장고, 과일저장고
액상용 제오카본(zc-100b, zc-200b)
오폐수처리: 중금속, 유기화합물 제거로 생활하수, 오수 및 특정 공업 용수 처리 탈취 및 탈색: 위생매립장 침출수 처리, 폐유 탈색, 탈취, 수분제거
고도정수처리: 생물학적 입상활성탄 여과지, 생물막에 의한 원수 전처리
정수기 필터: 잔류염소 및 중금속 제거, 소독 부산물 제거
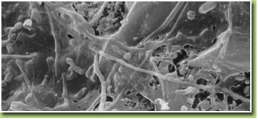
zc-200b 생물막 효과
![]() |
![]() |
| zc-200b 표면 및 기공 구조 | zc-100 50배 확대사진 |

제오카본 표면 전자현미경 사진
제오카본 100, 100b
제오카본 표면 초기
생물막 효과

